名古屋市緑区のインプラント治療

〒458-0043 愛知県名古屋市緑区万場山1-113
地下鉄桜通線「鳴子駅」北口より徒歩15分
市バス「鳴子口」より徒歩5分

診療時間
午前
午後

午前:9:30~13:00 午後:14:30~18:00
:9:30~13:00(休診日:木曜・日曜・祝日)

ご予約・お問合せはこちらへ

052-895-1555

当院のオールオンX

長年のお悩みから解放される
オールオンXとは?

「入れ歯が合わず、長年困っている…」そんなお悩みから、わずか半日で解放される治療があります。それが、当院で行っている「オールオンX」です。オールオンXとは、少ない本数のインプラントで多数の人工の歯を固定する治療法の総称。「X」には4本・6本など、必要に応じて埋め込むインプラントの本数が入ります。

中でも代表的なのが、「オールオン4」や「オールオン6」です。オールオン4は、片あごにつき、わずか4本のインプラントを埋め込み、それらが合計12本前後の人工の歯を支える、世界的に確立された治療法です。

最小4本のインプラントを埋め込むだけで済むため、治療費が大幅に安くなる上に体への負担も軽減できます。

しっかり噛めて食事を楽しめる
オールオンX

オールオンXのメリットは以下の通りです。

  • 入れ歯に比べ、ご自身の歯に近い噛み心地を再現できる
  • 入れ歯では噛むのが難しい硬い食べ物や、海苔のような薄く平らな食べ物なども、ほぼストレスなく食べられる

入れ歯の不便さから解放され、ご自身の歯が揃っていた頃のようにお食事を楽しんでいただけるでしょう。

オールオンXは
こんな方におすすめ

  • 入れ歯が合わなくてお悩みの方
  • 入れ歯の違和感が強く、嘔吐反射がある方
  • 重度の歯周病で、歯を抜かなければならないと言われた方
  • 「入れ歯」から連想される老けた印象が嫌な方
  • 入れ歯を入れたくない方

当院のオールオンX

インプラント分野で学位を持つ院長が行う
より安心のインプラント治療(オールオンX)

インプラント治療は、外科手術を伴う高度な治療です。インプラントを埋め込むあごの骨の周りには重要な血管や神経があります。これらの組織を傷つけることなく手術を成功させるとなると、かなりの精密なスキルを要します。

そのため、高い技術や豊富な経験を持つ歯科医師が担当したほうが、より安心なのは言うまでもありません。

私どもの院長は歯学部を卒業した後、名古屋大学医学部口腔学科に在籍しており、外科的な手技をしっかり習得しています。さらにインプラント分野で博士号を取得し、現在では36年・約1,500症例(※)もの治療実績を有しています。

また当院はオールオンX治療を、一般的に普及する前から周囲に先駆けて手がけ、20年以上(※)にわたって実績を重ねてきました。豊富な経験に基づく技術がありますので、安心してオールオンX治療を受けていただけることと思います。

なお、あごの骨が少ないとインプラント治療が難しいケースもある中、私どもでは骨を増やす「GBR法」や「サイナスリフト」に対応。そのため、難しい症例であっても治療の選択肢を広げられる可能性があります。

長年の経験と確かな技術を元に、一人ひとりに適したインプラント治療をご提供しているのです。

※2025年現在

患者さまの負担を減らす
インプラント治療

一般的にインプラント治療では、歯を抜いた後、あごの骨が治癒するのを待ってからインプラントを埋め込む手術を行います。しかしこの方法だと2回の手術が必要となり、患者さまのお体に大きな負担がかかっていました。

また骨が治癒するまでに時間を要し、すべての治療が終わるまでに半年以上の期間がかかるケースもあったのです。

それに対し当院で行っているオールオンX治療は、残っている歯を抜いた同日、すぐに4~8本のインプラントを埋め込みます。そのため手術が1回で済み、お体への負担を少なくすることが可能です。

この方法ならあごの骨が治癒するのを待つ必要がなく、治療期間も短縮。さらに私どもでは手術時間を短くできるよう工夫し、体への負担を減らしています。

加えて、インプラント手術と同日に仮歯も装着。歯がない期間がありませんので、見た目を心配する必要はございません。食事についても柔らかいものなら手術当日から噛め、会話もスムーズです。ただし、術後すぐは柔らかい食べ物から慣らしていただきます。

この治療法は、お口の状況によって適応できないケースもありますので、まずはご相談ください。

さらに安心の
アフターフォロー体制

インプラント治療には健康保険が使えず自費診療となるため、どうしても治療費が高額になりがちです。「高い費用を支払っても、すぐにダメになったら…」と心配される患者さまも多くいらっしゃいます。

当院は以下のように、インプラント治療後のフォロー体制をしっかり整えています。

丁寧なメインテナンス

インプラントを長持ちさせるには、定期的なメインテナンスが重要です。そこで私どもは一人ひとりに担当の歯科衛生士をお付けし、インプラント治療後のメインテナンスを行っています。

患者さまに定期的に通院いただき、担当の歯科衛生士がクリーニングしたり、ご家庭での歯磨き方法をお教えしたりします。同じ衛生士がずっと担当するためお口の中の変化にも気付きやすく、よりきめ細やかなケアが可能です。

歯科医師による定期的なチェック

患者さまご本人が快適に使えていると感じていても、実際はインプラントにダメージが加わっていた…といったケースもあるのが事実です。

そこで当院では、こうしたリスクを早期に察知できるよう、歯科医師が咬み合わせなどのチェックを行っています。

万が一の保証も整備

インプラント治療に対し、私どもは上部構造に5年、インプラント体に10年の保証をお付けしています。これは被せ物が欠けたり壊れたりした場合に、使用年数に応じて修理・再製作の費用を当院で負担するものです。

保証をお付けできるのは、私どもの自信の表れでもあります。実際に当院に来院されている患者さまの中には、20年以上前(※)に手術を受けて埋め込んだインプラントが、現在も良好な状態で機能している方がいらっしゃいます。

ご満足いただける治療をご提供できる自負があるからこそ、責任を持って保証をお付けしているのです。

※2025年現在

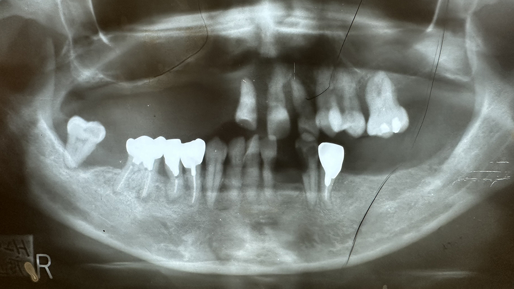
症例1

Before

After

非喫煙、碧南の陶芸家 70代男性

治療の期間・回数:①約7か月 ②約8か月 ③5か月
治療の価格:①2,200,000円 ②約8,000,000円 ③約300,000円
治療内容:この方は平成22年に初めて来院されました。
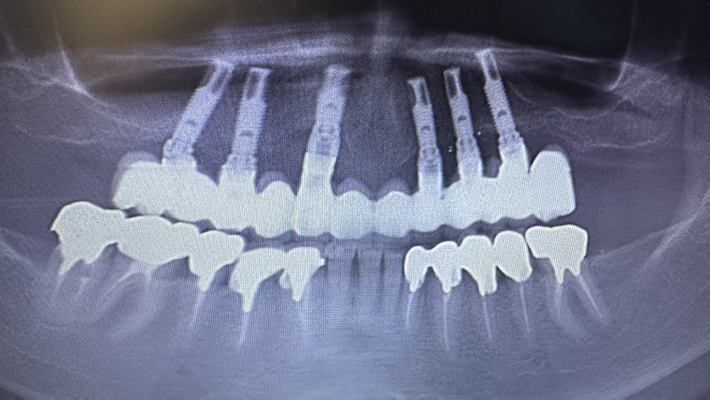
①他院で下あごの奥歯にインプラント治療を受けていましたが、上あごは「できない」と言われたそうです。当院では上あごに7本のインプラントを入れ、その日のうちに仮のブリッジを装着しました(即時荷重)。
②令和元年には、左上の奥のインプラントが抜けてしまったため、骨を足す手術(サイナスリフト)を行い、同時に2本のインプラントを追加しました。その半年後に、以前のブリッジを修理して再利用しています。
③さらに令和3年には右下の奥歯が折れてしまったため、インプラントを1本追加しました。当院では再治療や追加治療の場合、費用は2割引きとしています。

現在、上あごのブリッジは「コバルトクロム合金+セラミック」で作られた、スクリューでしっかり固定するタイプです。精度が高く、長く安定させるために、このような固定方法が望ましいと考えています。

症例2

Before

After

WYさん 60代女性
非喫煙者、重度歯周病

治療の期間・回数:一度目:上下とも約6か月/オールオン4:5か月
​治療の価格:一度目:上の歯1,600,000円、下の歯700,000円
オールオン4:1,600,000円

治療内容:この方は40代で重度の歯周病になり、多くの歯を失いました。
20年前に、上あごには4本のインプラントを入れましたが、骨が少なかったため、手術中に骨が割れるトラブルがありました。そのため、4か月間待ってから仮の歯を入れました。
下あごは残っている歯を使ってブリッジを作りました。最終的には上下とも、金属の土台にセラミックを貼った「メタルボンド」の歯を入れています。
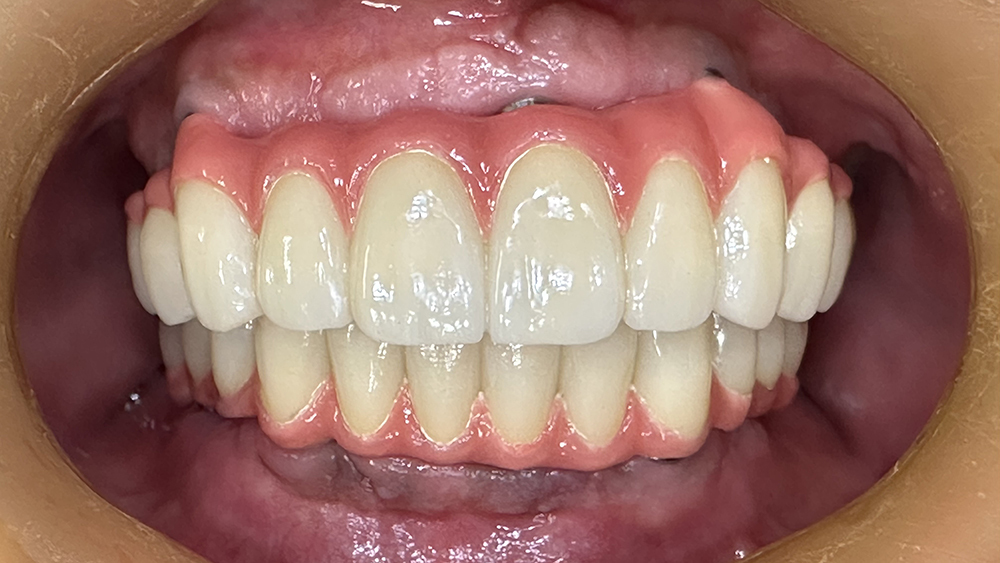
その後、下あごのブリッジは10年も持ちましたが、最終的には全ての歯を失いました。そこで韓国製オステムのインプラントで「オールオン4」という方法で再建しました。手術当日に仮の歯を入れ、最終的にはスクリューで固定するメタルボンドの歯を入れています。

重度の歯周病で骨も少ない条件でしたが、上あごのインプラントは19年間安定して使えています。

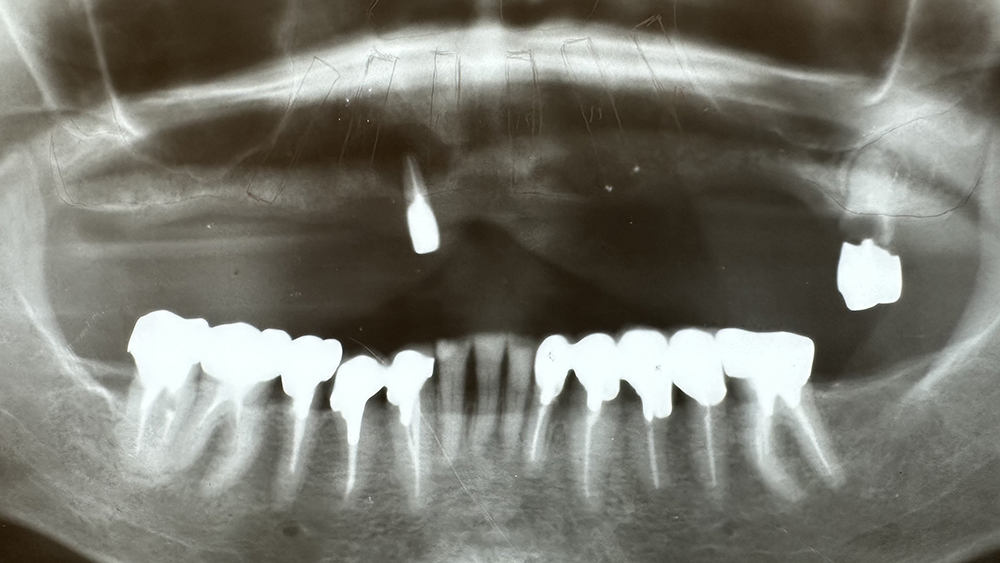
症例3

Before

After

MHさん、84歳女性
非喫煙者

治療の期間・回数:約6か月
​治療の価格:約2,200,000円

治療内容:当院では平成5年から上あごの「オールオンX」を行っていますが、この方は最も古い患者さんです。
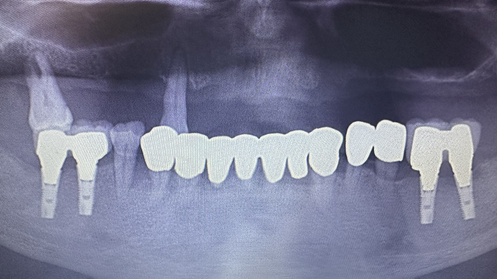
すでに21年経過しています。右下の歯が折れたため、12年前にオステムインプラントを1本追加しました。

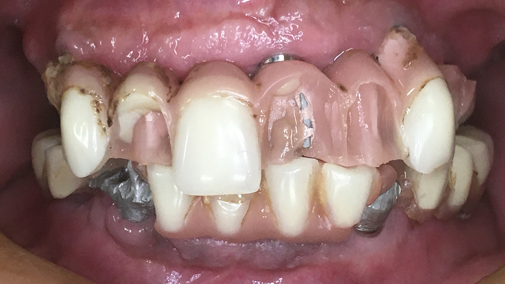
症例4

Before

After

KYさん、50代男性

治療の期間・回数:約6か月
​治療の価格:約3,300,000円

治療内容:この方は40代で歯がほとんどなく、12年前に上あごに6本、下あごに4本のインプラントを使って、手術当日に仮の歯を入れる「即時荷重」で治療しました。
上の歯は当初、安価な金属のフレームに入れ歯の歯を並べたものを装着しました。
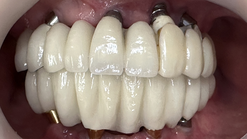
しかし、強い歯ぎしりのため、上の歯は3年で壊れ、修理して再装着しても2年でまた壊れてしまいました。そこで、丈夫なコバルトクロムのフレームにフルジルコニアの歯を接着した最高強度のブリッジに作り替え、見た目を良くするため人工の歯ぐきを付けました。
このブリッジは高価な技工物ですが、約80万円の原価で製作しました。

再装着してから7年経ちますが、今のところ問題なく安定しています。

オールオンXの種類・料金

オールオンX
(オールオン4、6、8)

あごの骨に4~6本のインプラントを埋め込み、それらを基盤として上部構造(被せ物)を固定する治療法です。上下どちらかの全ての歯を失ってしまった場合、従来のインプラント治療では10本以上のインプラントをあごの骨に埋め込む必要がありました。一方オールオンXなら、4~6本のインプラントを埋め込むだけで噛む機能の改善が期待できます。

治療の期間・回数:3~6か月、6~7回
リスクや副作用:手術後に、痛みや腫れ、出血、合併症などを引き起こす可能性があります。噛む感覚がご自身の歯と異なる場合があります。見た目がご自身の歯と異なる場合があります。手術後にメインテナンスを継続しないと、インプラントが抜け落ちる可能性があります。

下あご4本 1,650,000 円
上あご6本 2,200,000 円

※金額は税込み表記です。

検診・歯石とり・歯のクリーニング・フッ素塗布などもご予約いただけます。3か月先のご予約もお気軽にどうぞ。

052-895-1555

診療時間

 
午前
午後

午前:9:30~13:00
午後:14:30~18:00
▲:9:30~13:00/午後休診

休診日:木曜・日曜・祝日

052-895-1555

〒458-0043
愛知県名古屋市緑区万場山1-113

地下鉄桜通線「鳴子駅」北口より徒歩15分
市バス「鳴子口」より徒歩5分